검색결과4건
금융·보험·재테크

‘유력 후보’ 더존뱅크·유뱅크, 제4인뱅서 한 발 물러선 이유

제4인터넷전문은행 예비인가 신청에 가장 유력했던 후보 ‘더존뱅크’와 ‘유뱅크’가 돌연 불참을 선언하면서 이번 인가전의 열기가 식었다는 목소리가 나온다.25일 금융권에 따르면 더존뱅크를 추진해온 더존비즈온이 “혁신 금융 플랫폼 비즈니스 전략을 재조정한다”며 지난 17일 제4인뱅 불참 의사를 밝혔다.더존비즈온은 기업 고객의 핵심 경영관리 업무인 금융 서비스 혁신을 목표로 ERP 플랫폼에서 이뤄지는 다양한 혁신 금융 서비스를 준비했다. 시중은행, 보험사, 증권사 등 다수의 금융기관과 협력하면서, 지난해 정부의 금융 경쟁 확대 정책과 맞물려 인터넷전문은행 설립을 추진해 왔다.더존뱅크는 더존비즈온과 오랜 관계를 맺어온 신한은행이 상당한 지분을 투입해 참여할 것으로 예상되면서 주목받았다. 손해보험업계 ‘빅3’ 중 하나인 DB손해보험 역시 공식 참여 의사를 밝힌 상태였다. 자금력 부문에서 탄탄하다는 평가를 받은 배경이다.하지만 더존비즈온 측은 숙고 끝에 갖고 있는 데이터 강점을 살려 새로운 금융 플랫폼을 완성으로 전략 방향을 선회하게 된 것이다.이에 금융권에선 탄핵 정국으로 인한 한발 물러서기라는 해석이 나왔다. 인가에 불확실성이 다분하다는 것이다. 또 현존하는 20개 은행들 가운데 후발주자로서 사업하기에 상황이 녹록치 않다는 판단도 나온다. 또 다른 대항마였던 유뱅크 컨소시엄 역시 인가신청을 포기하고 추후 재신청을 결정했다. 유뱅크 컨소시엄에는 현대해상과 현대백화점·네이버클라우드·렌딧·트래블월렛·루닛·삼쩜삼이 참여했고, SK텔레콤도 검토하고 있었다. 또 대형 은행 중에서는 IBK기업은행이 유뱅크 컨소시엄과 이야기 중이었다. 금융권에서는 당국이 네이버에 인터넷은행 사업을 푸시해 왔고, 네이버가 100% 자회사인 네이버클라우드를 통해 유뱅크 컨소시엄에 참여한 것을 보고 유뱅크가 제4인뱅 인가를 받을 것으로 점치는 시각도 있었다. 하지만 유뱅크 컨소시엄을 이끌어 온 김성준 렌딧 대표는 “최근 불안정한 경제와 정국 상황을 고려해 빠르고 신중한 전략적 판단이 필요하다고 보고 추후 예비인가 신청을 재추진하기로 했다”며 시기를 미룬 것이다.금융권 관계자는 “경기 악화 속 중소기업과 소상공인에 대한 특화 은행을 내세우고 있는 컨소시엄들이 장사하기가 쉽지만은 않은 상황”이라고 말했다.권지예 기자 2025.03.26 07:40
산업

AI 등 제약·바이오 미래 산업도 투자자 외면 '암흑기'

인공지능(AI) 등 제약·바이오의 미래 산업마저도 투자자로부터 외면받고 있다. 코로나19가 시작되면서 집중적인 관심을 받았던 제약·바이오 기업들은 시장이 급속히 식으면서 이제 유니콘(시장 평가 우수기업) 특례 상장 1호 기업마저 흥행에 실패하는 등 ‘암흑기’를 걷고 있다. 의료 AI 기업 루닛은 12일 일반 투자자 대상 공모 청약을 시작했다. 지난 7~8일 기관 수요예측에서 7.1대 1이라는 저조한 경쟁률을 기록한 루닛은 당초 공모 희망 범위(4만4000∼4만9000원)보다 낮은 공모가(3만원)를 책정했다. 코스닥 기술 특례 상장 평가에서 국내 헬스케어 기업 중 최초로 모든 평가기관으로부터 AA등급을 받았던 루닛이지만 흥행에는 성공하지 못했다. 루닛은 제약·바이오의 미래 산업 분야를 이끌어갈 기업으로 꼽힌다. 2013년 설립된 AI 기반 의료영상 진단 및 치료 플랫폼 개발 기업으로 의료 AI의 선두주자다. 루닛 AI 영상솔루션 제품은 일본에 출시된 지 6개월 만에 ‘현지 병원 100곳 도입’을 기록했다. 루닛은 지난 2019년 일본 의료영상저장전송시스템(PACS) 및 의료용 엑스레이 의료기기 기업인 후지필름과 파트너십을 맺고 일본에 본격 진출했다. 이후 지난해 8월 일본 의약품의료기기종합기구(PMDA)로부터 AI 기반 흉부 엑스레이 영상분석 솔루션을 승인받았다. 국내에서는 제품 출시 후 2년 만에 병원 100곳을 돌파했던 것과 비교하면 일본에서의 성장세가 두드러졌다. 서범석 루닛 대표는 "의료 AI 분야에서의 앞선 기술력을 바탕으로 후지필름과 같은 글로벌 의료기기 기업들과 협력해 시장 점유율을 확장하겠다"며 "탄탄한 기술력과 제도적 지원을 토대로 글로벌 기업으로 지속 성장해 나갈 것"이라고 자신감을 드러냈다. 그러나 현실은 냉혹했다. 루닛은 제약·바이오 시장에서 절대적인 비중을 차지하는 ‘암 치료’ 분야에 초점을 맞춘 플랫폼을 갖고 있다. 암 진단을 위한 AI 영상분석 솔루션 '루닛 인사이트'와 암 치료를 위한 AI 바이오마커 플랫폼 '루닛 스코프' 등이다. 그러나 투자자들의 반응은 예전 같지 않다. 오는 21일 코스닥에 상장 예정이지만 일반 투자자들의 마음을 움직이기에는 쉽지 않은 상황이다. 지난 6월 상장한 유니콘 특례 상장 1호 기업인 보로노이 추이를 지켜보면 제약·바이오 시장의 분위기를 확인할 수 있다. 약물설계 기업인 보로노이는 올해 상반기 기업공개(IPO) 시장에서 대어로 꼽혔다. 보로노이는 최근 1년 동안 기술수출 4건으로 2조1000억원 계약을 성사시키며 주목받았던 기업이다. 보로노이의 대표적인 기술 중 하나도 AI 플랫폼 기술인 ‘보로노믹스’다. 그런데도 보로노이는 지난 3월 기관투자자 수요 예측에서 흥행에 실패하면서 상장을 철회한 바 있다. 지난 6월 재상장 도전에서 기관 투자자 28.35대 1 경쟁률을 보였고, 공모가는 희망범위 하단인 4만원으로 확정됐다. 지난달 24일 상장 첫날 시초가는 공모가보다 10% 떨어진 3만6000원에 형성되는 등 호응이 저조했다. 투자리스크가 큰 업종인 제약·바이오 업계에서 올해 파인메딕스·퓨쳐메디신·한국의약연구소 등이 상장 심사를 철회하는 등 찬바람이 거세다. 업계 관계자는 “로킷헬스케어·피노바이오·콘테라파마·스탠다임 등이 기술 특례 상장 기술성 평가에서 탈락하는 등 바이오 기업들의 상장 문턱이 점점 높아지고 있다”고 말했다. 김두용 기자 k2young@edaily.co.kr 2022.07.13 07:02
연예

Korea VC Awards 2019 개최...올해로 10번째

19일 오후 5시 잠실 시그니엘호텔에서 한국모태펀드 운용기관인 한국벤처투자(주)(대표 이영민)는 벤처캐피탈, 중소·벤처기업, 유관기관 등 250여명이 참석한 가운데「Korea VC Awards 2019」을 개최했다. 올해로 10번째인 시상식은 ‘대한민국 혁신의 주인공 Venture Capitalist’이라는 슬로건으로 벤처생태계 발전에 기여한 유공자들을 시상하고 벤처업계의 네트워크 장으로 마련되었다. 중소‧벤처산업 성장을 도운 최우수 운용사를 비롯하여 심사역, 펀드, 관리인력 등 벤처펀드 수익에 기여한 투자기업을 선정하였다.최우수 운용사에는 수아랩, 루닛, 아이유노 등 AI분야와 글로벌 진출 기술 기업을 비롯한 다수기업에 투자 및 성공적 회수를 한 소프트뱅크벤처스(이준표 대표이사)가 선정되었다. ‘최우수 심사역’ 수상은 모태펀드 출자사업 중 중소기업 진흥, 문화, 특허부문을 대상으로 이뤄졌으며 중소기업 진흥 부문에는 ‘직방’, ‘베스파’ 등에 투자하여 벤처투자 활성화에 기여하고, 높은 회수수익을 달성한 에스엘인베스트먼트 전환석 이사에게 중소벤처기업부 장관 표창장이 수여되었다. 문화부문에는 국내 게임 및 문화콘텐츠 분야에 적극적인 투자를 집행한 유니온투자파트너스 오정근 수석심사역이 문체부장관 표창을 특허부문에서는 그래핀스퀘어, 엠비디 등 우수특허 기술을 보유한 벤처기업에 투자한 비에스케이인베스트먼트 백승권 대표이사가 특허청장 표창을 수상하였다.모태펀드 출자 벤처펀드 중 우수한 수익률로 모태펀드 성과에 기여한 바가 큰 펀드에 주어지는 ‘최우수펀드’ 에는 방탄소년단으로 유명한 빅히트엔터테인먼트에 초기단계에 투자하여 차기 유니콘 기업으로 성장할 수 있도록 계기를 마련한 에스브이M&A1호투자조합(대표펀드매니저 김영환 부사장)이 한국벤처투자 표창을 받았다. 탁원한 위기관리능력을 보인 리스크매니저에게 수여하는 “최우수관리인력”에는 코오롱인베스트먼트의 간미현 팀장이 안정적인 펀드관리와 리스크 관리의 모범사례를 제시한 공을 인정받았다.‘민간출자 활성화 유공자’는 1,400억원에 달하는 규모의 벤처펀드 출자와 벤처플랫폼 계획을 수립하여 민간주도의 벤처투자 시장 활성화에 기여한 포스코 신대호 벤처기획그룹장에게 주어졌다.양질의 일자리를 창출하고, 모태펀드 수익에 크게 기여한 기업에게 수여하는 ‘올해의 투자기업’에는 인기 모바일게임 ‘킹스레이드’를 서비스하고 있는 ‘베스파(김진수 대표이사)’가 수상하였다.한국벤처투자 이영민 대표이사는 “벤처투자액 사상최대, 유니콘 기업 11개 탄생 등 우리나라의 벤처생태계의 성장에는 대한민국 벤처캐피탈의 노력이 큰 힘이 되었다”며, “올해로 10주년을 맞은 KOREA VC Awards가 매년 벤처캐피탈 임직원분들이 만들어낸 성과에 감사드리는 일이 많아질 수 있도록 한국벤처투자도 함께 노력할 것”이라고 말했다.이소영 기자 2019.12.24 14:13
연예

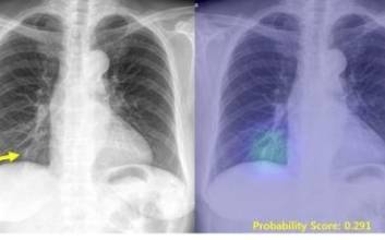
국내 AI, 폐암·폐결핵·폐렴·기흉 판독 '의사보다 정확'

국내 대학병원과 IT 기업이 개발한 인공지능(AI)이 폐암·폐결핵·폐렴·기흉 등 4대 흉부 질환을 98% 이상 정확하게 판독해 냈다.서울대병원 영상의학과 박창민 교수와 소프트웨어 개발 기업 루닛 공동 연구팀은 자체 개발한 AI 보조 진단 시스템을 폐 결절을 포함한 4대 흉부 질환 진단에 적용한 결과, 질환을 선별하고 위치까지 찾아내는 정확도가 98% 이상에 달했다고 1일 밝혔다.흉부 4대 질환은 전 세계적으로 발병 빈도와 사망률이 높아 정확한 진단으로 조기에 치료하는 것이 중요하다.연구팀은 이번 AI 시스템 개발을 위해 4대 흉부 질환과 관련된 총 9만8621건의 흉부 X-선 영상 자료 결과를 AI 진단 학습에 활용했다.이 AI는 서울대병원·보라매병원·강동경희대병원·을지대병원·프랑스 그르노블 대학병원 등 국내외 5개 병원에서 이뤄진 진단 정확도 평가에서 평균 97% 이상의 높은 점수를 받았다.또 영상의학과 전문의를 포함한 의사 15명과 비교 평가에서도 AI의 정확도는 98.3%로 흉부영상의학 전문의의 93.2%보다 높았다. 의료진 측면에서는 AI의 보조를 받을 경우 판독 능력이 최대 9%p까지 높아지는 효과도 관찰했다.연구팀은 "AI 시스템은 환자의 흉부 X-선 영상을 분석해 이상 소견이 있는 부위를 표시하고, 그 가능성을 확률값으로 제시해 준다. 이를 활용하면 보다 손쉽게 영상 진단을 내릴 수 있을 것으로 보인다"고 말했다.이 AI 시스템은 향후 식품의약품안전처 의료 기기 승인을 거쳐 실제 환자 진단에 사용될 전망이다.이번 연구 결과는 미국의사협회(JAMA)가 발행하는 권위지인 '자마 네트워크 오픈' 최근호에 게재됐다. 권오용 기자 kwon.ohyong@jtbc.co.kr 2019.04.02 07:00
브랜드미디어
모아보기
이코노미스트
이데일리
마켓in
팜이데일리
행사&비즈니스
TOP